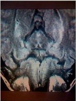
Szűz Mária az MRI felvételen?
Létrehozás:
2008. december 11., 09:57
Legutolsó módosítás:
2008. december 11., 09:58
Los Angeles - Egy amerikai hölgy különféle betegségekben szenved, és az agyáról nemrég MRI-felvétel is készült, ám csoda történt, mert ennek közepén Szűz Mária látható, ahogyan a hagyományos egyházi alkotásokon ábrázolták. Forrás: MSNBC / Stop.hu
Pamela Latrimore a mágneses rezonanciás (MRI) felvételt árverésre kívánja bocsátani, mert az árából tudná csak fedezni egyre nagyobb kezelési költségeit. Nem csalás, nem ámítás, az MRI-képen valóban Szűz Mária fő vonásai láthatók, de senki sem tudja, hogyan lehetséges ez. Az amerikai hölgy tíz éve betegeskedik, állandóan imádkozik, és az MRI-vizsglálat közben is imáját mormolta, és szerinte a csodás MRI-kép azt bizonyítja, hogy könyörgése végül meghallgatásra talált.








